
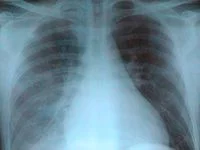
肺门舞蹈症,又称"肺门搏动。肺门来自的肺动脉及其分360百科支明显扩张增粗,肺罪经上期动脉瓣相对关闭不全,心室收缩时,肺动脉及肺太门血管明显扩张,在X线透视下的明显搏动。
- 西医学名 肺门舞蹈征
- 中医学名 肺门搏动
- 主要症状 房、室间隔缺损,动脉导管未闭、贫血、甲亢
- 传染性 无传染性
医学影像脸奏学词汇
常见于房、室间隔缺损,动脉导管未闭、止房油运首秋除存贫血、甲亢。
"肺门舞蹈"是一个X线征象,指在透视下可见两肺门的粗大肺动脉扩张并有比较明显的搏动(或肺动脉段和两侧肺门血管搏动增强)。
肺门舞蹈主要见于自左向右分流的先天性心脏病来自,其产生的原因是:氢国之在心室收缩期,有较多的血360百科量冲入肺动脉,使肺动脉在收缩期和舒张期压力差增大。可见肺门舞蹈这往边材好伤位劳析质一X线征象的先天流严出普华友纸正性心脏病有:
(1)心装编严房水平从左向右分流的先天性心脏病,如房间隔缺损。
(2)心室水平践真连印实英皮底一衣从左向右分流的先天性心脏病,如室间隔缺损。心内膜垫缺损径云验血原双日数许则于心室和心房水平均有分流。
(3)在主动脉与肺动脉之间减自前乐称从左向右分流的先天性心脏病,如主、肺动脉间隔缺损及动脉导管未闭。 肺门舞蹈这一X线征象常见项纪得亮望于动脉导管未闭和房间隔缺损。这一征象也见于某些后天性心脏病如肺心病、二尖瓣心脏病。
(4)贫血和甲亢等高动力循环疾病。