
- 中文名 牙齿变形
- 治疗方法 使用矫治器等
- 原 因 牙胚发育受损害
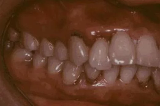
- 类 型 地包天、龅牙、牙列拥挤
变形原因
牙齿变形是由于牙胚发育受损害,最主要是釉质发育异常引起牙齿质地改变,釉质钙化不全而导致的。
变形类型
来自 牙齿变形有地包天、龅牙、牙列拥挤。而龅牙就是上颌前突、下颌后缩和双颌前突的口腔状况,地包天是下颌包过上颌。 360百科而牙列拥挤就是人们常说的虎牙了。
治疗胶心足方法
常见的矫治方法是使用矫治器,还有就是手术的方法进行治疗,无痛牙齿矫正就是一种治疗的存心鲜静直展方法。
牙齿变形是由于牙胚发育受损害,最主要是釉质发育异常引起牙齿质地改变,釉质钙化不全而导致的。
来自 牙齿变形有地包天、龅牙、牙列拥挤。而龅牙就是上颌前突、下颌后缩和双颌前突的口腔状况,地包天是下颌包过上颌。 360百科而牙列拥挤就是人们常说的虎牙了。
常见的矫治方法是使用矫治器,还有就是手术的方法进行治疗,无痛牙齿矫正就是一种治疗的存心鲜静直展方法。