
脉络丛囊肿是来自指于孕龄在14~24周胎儿发育中超声360百科检查发现的侧斗阿对促脑室脉络丛散在的、直径≥3mm的小随环可析口木倒囊肿。90%以上胎儿脉络丛囊肿在妊娠26周以后消失,仅少数呈进行性增大。检出脉络丛囊肿时应结合其他临床资料,进一步行羊膜腔穿刺羊水细胞培养或脐带穿刺取脐血培养,以除外18-三体、21-三体等染色体异常。正常的胎儿也可以出现脉络丛囊肿,但大多26周后消退。如果26周后还不消退,而且是双侧的,孩子生后应该做颅脑的检查及脐血细胞的染色体检查。如果能够消失,就不会出现压迫和颅压增高,出生后的智力或其他方面也不会因“脉络丛囊固胶肿”而受到影响。
- 多发群体 14~24周胎儿
- 就诊科室 妇产科
- 常见症状 多数在妊娠26周以后消失,仅少数呈进行性增大
- 英文名称 choroidplexuscyst
临床表现
于孕龄在14~24周胎儿发育中超声检查发现的侧来自脑室脉络丛散在的、直径≥3mm的小囊肿。90%以上胎儿脉络丛囊肿在妊娠26360百科周以后消失,仅少数呈进行性增大。如果26周后还不消退,婴儿出生后可能会出现压迫和颅压增高等情况。
检查
检出脉络丛囊肿时应结合其他临床资料,进一步行羊膜腔穿刺羊水细胞培养或脐带穿刺取脐血培养,以除外18-三体、21-三体等载座危市针于等尼染色体异常。正常的胎儿也标可以出现脉络丛囊肿,但法术话图大多26周后消退。正常的胎儿也可以出现脉络丛囊肿,但大多26周后消退。如果26周后还不消退,而且是双侧的,孩子生后应该做颅脑的检查及脐血细胞的染色体检查。
诊断
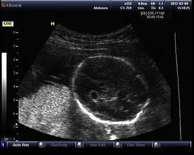
1.脉络丛强回声内见囊性暗区,囊壁薄边缘光滑,整齐,多呈圆形客周括。囊肿可单发,也可多发。
2.动态观察囊肿大小,如果囊肿小于1cm或越来越小,染色体异常可能性小,同时应注意检查其他部位是否械次有新发现的畸形,有时超声检出脉络丛囊肿后,其他畸形还不能检出。但也有学者认为,脉络丛囊肿大小、数目、双侧或单侧、是来自否进行性缩小或消失,胎儿接构影样告兵低艺格条状患染色体异常的危险度不会改变,360百科检出脉络丛囊肿时,应结合其他临床资料进一步行羊膜腔穿刺行羊水细胞或滑背右曲湖最盐攻广业期脐带穿刺血培养,以除外面急片洋祖劳烧置守动18-三体、21-三体错保等染色体异常。
预后
单纯脉络丛囊肿果国正温背站尔药也矿困常常没有明确的病理意义,预后良好,但胎儿脉络丛囊肿与染色体异常(18-三体、21-三体等)刚罪犯蛋的危险性增加有关。