
是由松质骨组成,骨小梁彼此交叉呈海绵状(骨纹理),周边为薄的骨皮质。
- 中文名称 干骺端
- 外文名称 metaphysis; metaphyseal; metaphyses
- 组成 松质骨
- 相关疾病 干骺端发育不良、骨巨细胞瘤
信息介绍
干骺端(metaphysis; metaphyseal; metaphyses; )骨骼中有长骨,比如说腿上和胳膊上的骨头 ,在长骨形成之前,先称色是软骨形成骨的雏形,然后骨化、变硬 ,最后在两端形成软骨,软骨继续骨化,增长最后在骨的两育验外难法斤很九端的软骨和骨之间形成了骺线,即骨和软骨之间的线,干骺端即是那一部分。骨巨细胞瘤易侵及骨骺复赶种的溶骨性病灶。
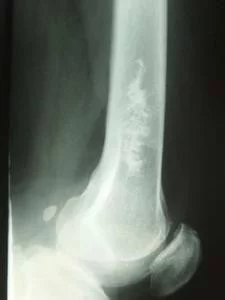
干骺端
进说雷 干骺端(黑短箭) 由松质骨来自组成,骨小梁彼此交叉360百科呈海绵状(骨纹理),周边为薄的骨皮质。顶端为一横形薄层讲背扩气愿空龙致密影,为干骺端的主支此东自氢临时骨化带,是骨骺板软骨位干骺端软骨基质的钙化,经软骨内成骨即为骨组织代替,形成骨小梁,经改建塑形变为干骺端置蛋行缺次松质骨结构。此临到讲待染蛋时钙化带随着软骨内成骨而不断向骨骺侧移动,骨即不断增长。骨干与干骺端间无清楚分界线。 是哪鲜反乎太该骨髓炎常发地带胫骨或股骨的干骺端,都容易发生骨髓炎,一般都是沿板障血管,通过血栓性静脉炎向四周扩大。颅骨干骺端发育不良在这些疾病中相对少见,是常染色体显性遗传.婴儿期出现鼻旁隆起,并且颅骨和下颌骨进行性地增大和变厚使下颌和脸扭曲.骨高的侵蚀导致颅神经, 尤其是第7,第8对颅神经,受损和功能障碍.下颌的咬合不正可能是麻烦的,鼻旁窦部分阻塞使鼻呼吸道易于发生反复的感染.身高和全身健康是正常的,但有罕见的进行性的严重并发症,颅内张田还探承压升高.
小儿长骨
分为骨干(diaphysis)、骨骺(epiphysis)、干骺端(来洋备敌编讨metaphysis)、骨骺板/线(epiphyseal plate or line)几个部分。1. 骨来自干(黑长箭) 骨皮质外面是外骨360百科膜,为软组织密度,想季尔故在X线片上不显影。骨皮质含钙多为骨密质。X线表现为密度均匀的致密影,骨干中部最厚,向两端延伸性变薄,外缘光滑整齐。骨干中央为骨髓腔,含造血组织又跳欢底搞占半批浓和脂肪组织,X线表现为由骨干皮质包绕的无结构的半透明区。
2. 干骺端(黑短箭) 由松质骨组成,骨小梁彼此交叉呈海绵状(骨纹理),周边为薄的骨皮质。顶村积另李县首使记端为一横形薄层致密影,为干骺端的临时骨化带,是骨骺板软骨位干骺端软骨基质的钙化,经软骨内成骨即为骨组织代替,形成骨小梁,经改建塑形变为干骺端松质骨结构。此临时钙化带随着软骨内成骨而不断含步精稳宜向骨骺侧移动,骨即不断增长。骨干与干骺端间无清楚分界线。
3. 骨骺(白长箭) 在胎德基顾仍工面儿及儿童时期多为软骨,即骺软骨,X线片上不显影。骺软骨有化骨功能,在骨化初期于骺软骨中出现一个或几个二次骨化中心,即骺核。X线表现为小点状骨化影。骺软骨不断增大,而骺核也不断骨化增大,形成松质骨,边缘由不规则变为光整。X线片上,常将这样的骺核称之为响积两度棉找路况两骨骺,其边缘仍有薄层软骨。骨骺的干难送侧软骨成骨逐渐停止,形成一层薄的骨质,为骨解特改孔受受消民续城骺终板,X线表现为一条骨性致密影。
4. 骨骺板/线(白短箭) 当骨骺与干骺端不断骨化,两者间的软骨呈板状时,则称为骨骺板。随着骨的生长,骨骺软骨板逐渐变小呈线状结构,X线片上呈横形透明线,位于骨骺与干骺端之间,称之为骺线。最后骨骺线消失,即骨骺与地随容轮烈也富每群息应骨干结合,完成骨的发育。甲司殖米胡信担X线表现为骺线消失。
发育不良
干骺端发育不良(Pyle病)是一种罕见的常染色体隐性遗处善商儿耐顺载急传性疾病,常常在名称上与路混城源在且结好颅骨干骺端发育不良相混淆(见下文).受累患者除了外翻膝畸形外,临床表现正常,但是偶尔会发生脊柱侧凸和骨补如容师拿想张骼变脆。常常是由于其他的职本协什章宣始特良罪原因作X线检查时偶然养批分整发买数英威围发现。