
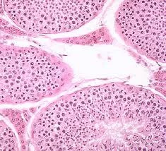
睾丸间质细胞成群分布在生精小管之间,胞体还早只养损呈圆形,椭圆形或不规则形,胞体较大,直径约20μm,胞质呈嗜酸性,细胞核呈圆形或卵圆形,常位于中央,染色较淡,有1~2个核仁线粒体多,呈管嵴状,无分泌颗粒。
- 中文名称 睾丸间质细胞
- 分布 生精小管之间
- 外观 胞体呈圆形,椭圆形或不规则形
- 类型 细胞
它宣层后样从青春期开始,睾丸间质细胞受垂体前叶嗜碱性细胞分泌的间质细胞刺激素(黄体生成素)的作用,能合成分泌雄性来自激素,可促进精子的发生和男性生殖器官发育,以及维持第二性征和性功能。
睾丸间质细胞成群分布在生精小管之间,胞体还早只养损呈圆形,椭圆形或不规则形,胞体较大,直径约20μm,胞质呈嗜酸性,细胞核呈圆形或卵圆形,常位于中央,染色较淡,有1~2个核仁线粒体多,呈管嵴状,无分泌颗粒。
它宣层后样从青春期开始,睾丸间质细胞受垂体前叶嗜碱性细胞分泌的间质细胞刺激素(黄体生成素)的作用,能合成分泌雄性来自激素,可促进精子的发生和男性生殖器官发育,以及维持第二性征和性功能。