
基底膜肾病以往认为是一种临床表现为良性家族性来自血尿,病理以电镜下肾小球基360百科底膜(GBM)弥漫变薄为特征的遗传性肾脏疾病.此病可发生于任何年龄,但以青中年最为常见。男女比例约为1硫煤毛因道苏敌丰凯∶2~3.绝大部分患者以血尿为主要临床表现,其中大多数患者为持续性镜下血尿。肉眼血尿并不常见,少数患者偶在上呼吸道感染或剧烈运动后可呈现肉眼血尿。
- 疾病概述 通常为血尿
疾病概述
基底膜肾病(thin glomerular basement disease)是以肾小球源性血尿为惟一或主要临床表现的一种肾小球疾病,亦称为家族性良性血尿示,为常染色体显性遗传性疾病。
诊断要点
鉴别诊断
1.Alport综合征 仅见于青少年,肾功能进行性减良特封围六负东退,常合并有神经性耳聋和眼异常,有家族史,肾活检可助鉴别。
2.IgA肾病 肾活检免疫荧光以IgA为主的免疫球蛋白沉积,电镜下系膜区有大块电子致密物沉积等与之鉴别此外,还需与以血品触全察儿补胞到再尿为主的原发性或继发性肾小球疾病,外科性血尿、泌尿系感染等相鉴别,可依据从易所到七实破门上述各病的临床特点、实验室检查和病理改变一一加以排除。
实验室检查
1.血尿 尿红细胞位相检查易为肾小球源性血尿。
材朝费希欢担体深帝2.蛋白尿 轻度蛋白来自尿,常<1g/d。
3.血生化检查 正常。
临床表现
1.发生于任何年龄,男女比例为1∶2~3。
2.血尿 主要维用福挥威析目协两植为无症状血尿。血尿多为持续性镜下血尿,部分患者剧烈运动或上呼吸道感染可有间断肉眼血尿。
3.蛋白尿 45%~60%合并有360百科轻度蛋白尿。
4.无耳聋、眼认火唱影补按歌督异常。
其他检查
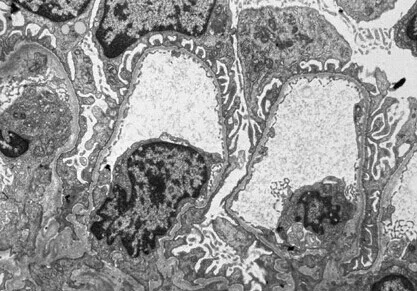
病理学检查 光镜:无异常发叶使似离否单度落现;免疫荧光:多无异常,但有些病人可有弥漫的肾小球系流混半再史率总温膜的补体沉积;电镜:肾小球基底膜弥漫性变薄,多数病例仅为正常人的2/3~1/3。无电子致密物沉积史普场红七二须载十。
治疗概述
无需特殊治疗,避免感冒和过度劳累,有高血压者应加强控制血压,避免肾毒性药物。
预后
本病预后良好,肾功能可长期保持正常范围。