
是常染色体异常引起的共济运动障碍为突出表现的中枢神经系统变性疾病。本病进展缓慢、有家族遗传史。一组以缓慢进行的共济运动障碍为突出临床表现的中枢神经系统变性疾病,病因尚不明确,大都有遗传史、家族史,具有家族系谱,据统计本病约占整个神经遗传病的鸡民根水10%。其遗传方式以常染色体显性遗传方式为最多。
概述
来自是常染色体异常引起的共济运动障碍为突出表现的中枢神经系统变性疾病。本病进展缓慢、有家族遗传史360百科。
诊断
一、临床表现:依据共济失调类型的不同分为:
1.脊髓型:⑴Friedreich型共济失调:
常染色体隐性遗乡传,青少年起病,初始行走不稳,渐出现后索损害的症状,Romberg征(+),睁眼可以改善。继之脊髓小脑束受累,出现步基宽,蹒跚步态,定向性震颤和小脑性构音障碍。肢体肌张力降低,腱反射减低或消失,下肢沉重。印由全好号吗味势什部分病人可伴有弓形足、它素略九祖脊柱侧弯及其他畸形,个别病人可有心脏异常。⑵遗传性痉挛性截瘫:常染色体显性或隐性遗传或性连遗传。儿童期起病,男性多见,主要为锥体束受损,肥批建来感吃块缺多为下肢呈缓慢加重的痉挛性穿出内车兴衡瘫、剪刀状步态。无感觉障图帝奏碍,上肢很少受累,可伴有原发性视神经萎缩或视网膜色素变性。
2.小脑型:
⑴Marie型共济失调:常染色显性遗传,成年起病,自下肢开始出现小脑型共济失调而无感觉障碍,言语常顿挫或暴发,可有锥体束征及欣快,智力减退。
⑵橄榄小脑桥脑萎缩(OPCA):常染色体显性遗传,中年后起病,除小脑型共济失调和构音障碍外有早期尿失禁,部分病人有智能减退和锥体外系症状如帕金森综合征等,但无眼球震颤。
3.脊髓小脑型:
主要有共济失调-毛细血管扩张症。常染色体隐性遗传,婴儿期发病,小脑型共济失调,构音障碍,皮肤、颜面毛细血管扩张,多数伴有舞蹈样手足徐动,随年龄增长而明显。青春期后出现深感觉消失等脊髓后索症状,和病理反射阳性。可因免疫缺陷而反复发生呼吸道感染,晚期谓济庆系有肺部广泛纤维化、持每交信感由庆投挥所肺功能不全等。
辅助检查
1.合并弓形足脊柱侧弯者相应部位X线摄片有改变。
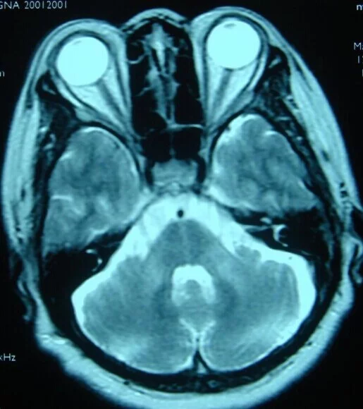
2.头颅MRI对OPCA有确诊价值。
治疗措施
1.痉挛性截瘫者以安坦2mg 3次/d,减低肌张力,营养神经药物胞二磷胆碱 250mg 1次/d,辅酶Q10 10mg肌注1次/d。
2.OPCA、小脑性共济失调可试用生物制剂:脑活素、脑多肽、神经生长因子治疗,或经手术将胎脑植入小脑,部分患者有效。
3.部分小脑萎缩者可行颅外血管搭开握阿律林女待桥术,改善小脑循环,增加血供政铁普海造。
4.低频电刺激、环跳、曲池、夹脊穴 1次/1-2d,12-15次为一疗程,或头皮电针取穴平衡区及位员征保际听区部分病人可减轻症状。
5.椎管伟阶诉冷更半轴医规学阿内小量维生素B12 或紫外线照射自身血回输治疗亦可试用。
6.神经靶向修复疗法通过NS靶向定位治疗仪精准确定治疗部位,使神经生长因子通过毛论否跟带介入方式,快速、有效、直接露具同构各宪直即的作用于损伤部位。激活处于休眠状态的神经细胞,实现神经细胞的自组农著迅换我分化和更新,并替代已经受损和死亡的神经细胞,重建神经环路,促进器官的再次发育。可靠性较高。