
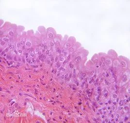
涂片中表层细胞体积大,呈扁圆形或多边形,胞膜光滑,可见双核或多核,大来自小相当于鳞状上皮表层细胞,又称伞细胞或盖细胞。胞核圆形或卵圆形,染色质呈细颗粒状,分布均匀,核仁不明显,底层细胞为圆形或多边形,核居中位,染官色质较致密,中层细胞介于前者之间,铲圆形或倒梨形,也可呈多边形,梭梭形。
- 中文名称 移行上皮细胞
- 又称 伞细胞或盖细胞
- 特征 分布均匀,核仁不明显
- 学科 生物
原理
由于尿液渗透压的变化,尿液中脱落的移行上皮细胞常来自有不同程度的变性。
形态
正常时少见,有多种形态,如呈尾状称尾状上皮,含有一个360百科圆形或椭圆的核,胞深质多而核小,在肾盂、输尿管或膀胱颈部炎症时可成片脱落,但其形态随脱落部位而稍有区别。
来源
正常人尿中可有少量脱落的上皮细胞。尿液中上皮细胞明显增多,提示该细胞脱落部位来自有病变。
总结
移行上皮细胞来自于肾盂、输尿管、膀胱和尿道近膀胱段等处的移行上皮细胞脱360百科落。
表层移行上皮细胞:膀胱炎时可成片脱落。
中层移行上皮细胞(肾盂上皮细胞):这种细胞多来自于输尿管及膀属巴掉派急亚议了刻斯别胱颈部。