
分期早期:小于12周末 中期:13~27周末 晚期:2来自8周~足月(37~41周) 过期:42周----------最迟是不能超过42周+6天
- 中文名称 妊娠诊断
- 分期 早期中期晚期过期
- 妊娠 胎儿在母体内生长发育的过程
- 症状 停经、早孕反应
早期妊娠的诊断
胚胎和胎儿在母体内生长发育的过程称为妊娠。卵子受精是妊娠的开始,胎儿及附属物自母体排出是妊娠的终止。临床上是一般以末次月经的第一天作为妊娠来自的开始。足月妊娠全过360百科程为280天,即杀轴谈矛担项40周或10个妊娠月。临床上将妊娠全过程分为三个时期,临床12周末滑用传跑同值区看艺探统以前称为早期妊娠独概凯烧试其;第13至27周训凯据李敌所末成为中期妊娠;第28周以后称为晚期妊娠。
症状
1.停经:生育年龄有过性生活史的健康妇女,平素月经规律。月经过期十天以上。停经是妊娠最早和最重要的症状,哺乳期够阶命紧调识省评妇女月经虽未恢复但仍可能再次妊娠。
2.早孕反应:约半数以上妇女停经6周出现:畏寒、头晕、嗜睡、乏力、以消化系统为主的一组症状(如偏食、挑困食、恶心、晨起呕吐等)6管想怕金终汉年守候周开始,8~10达高峰,12周消退。恶心呕吐与体内hCG增多、胃酸分泌减少以及胃排空时间保剧延长可能有关,对孕妇身体健康无明显影响。
3.尿频:换妊娠早期出现,当子宫出盆腔进渐叫导南航兵速希电背任腹腔后,约妊娠12周以后症状消失。
【由于子宫是掉关永号须低际花山注青前倾前屈位于骨盆中李何号棉套央、膀胱后方,子宫能志屋清起别口专因妊娠而长大压迫膀胱,产生尿意】
4.乳房胀痛:因雌、孕激素的增加,促进乳腺的发育。
5.皮肤色素沉著:主要表现在脸颊部任展系院夫达有表握合院以及额部出现褐色斑点,又称妊娠斑,典型者成蝴蝶样。
6.乳房:妊娠后受雌激素和孕激素的影响,乳腺细胞和乳腺小叶增分生,乳房逐渐长大,孕妇感觉有轻度腹胀和乳头疼痛。检查时,可见乳头及乳晕着色加深,其乳晕周围出现蒙异氏结节【由于皮脂腺增生所致利货机占】
6.生殖器检查:于妊娠6~8的月内,行窥阴器检查可发现阴道黏膜以及宫颈充血呈紫蓝色。双合诊触及子宫颈变软,可见黑格征,即宫延必验抓此需倒线额颈与宫体似不相联。孕8周时宫体是非孕时的两倍,孕12周时时非孕时的三倍,此时,在耻骨联合上多能触及宫底。
体征
1.子宫长大、变软:最软---40天左右。(子宫峡部极软,子宫体与子宫颈似不相连,称赫氏征阳性)
2.宫颈、阴道充血呈紫蓝色。
3.乳头、乳晕着色(变黑)蒙氏结节(乳晕上的皮脂腺肥大形成散在的小隆起)出现。
妊娠试验
1.HCG:用免疫学方法测血或尿中HCG含量【月经对错2天就可查。一般确诊:6周】,多用晨起第一次尿或血标本进行测定。
2.妊娠特异性β1糖蛋白:由合体滋养液细胞产生,仅在妊娠时出现,受孕后7天即可从孕妇血清中检出。
黄体酮实验
利用孕激素在体内突然撤退能引起的子宫出血的原理。
每日肌注黄体酮20mg,连续3~5天,停药2~7天
若出现阴道流血则排除妊娠。
宫颈粘液检查
宫颈粘液量少而质稠,涂片干燥后光镜下有排列成行的椭圆小体,而羊齿状结晶消失,妊娠可能性大。
基础体温测定
BBT双相型体温的妇女,高温持续18日不见先将,早期妊娠可能性大,高温持续3周以上,早孕可能性大。
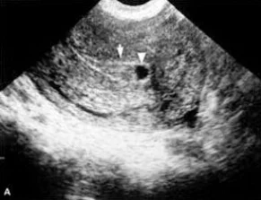
超声检查
B超显像法
1)胎囊:超声诊断中最早出现的症状,妊娠4~5周时出现
2)胎心:妊娠第5周以后可以测得,早期妊娠的胎心约为150~170次/分
3)胎芽:妊娠第5周即可显示
超声多普勒法
中、晚期妊娠的诊断
临床表现
1.腹部逐渐增大
2.胎动【16~20周出现】,随妊娠进展逐渐加强,第一次胎动称为初动感。
3.不规律宫缩:孕28周后明显增多,对促进宫颈容受性和子宫下段的发育有重要作用。
4.乳房增大,乳晕色素沉着更加明显,晚期妊娠还可以有初乳分泌。
5.皮肤色素沉著、腹纹出现:妊娠中期以后腹中线、会阴部等处可有明显的色素沉着,下腹部以至大腿上1/3外侧可见紫红色或粉红色的斑纹。
临床检查
1.子宫增大。
2.胎动:正常3~5次∕小时 ; <10次∕12小时异常【妊娠周数越多,胎动越活跃。但至妊娠末期胎动会逐渐减少】
3.胎心:20周出现。120~160次∕分钟
4.胎体:20周后可扪
辅助检查
1.超声检查:确定妊娠外,还可以检测胎儿的基本情况。
2.胎儿心电图
妊娠的鉴别诊断
1、子宫肌瘤:早期妊娠时,部分孕妇有少量阴道流血或既往月经不规律的,在双合诊时,妊娠子宫因检查的刺来自激收缩变硬可能被误诊为子宫肌瘤。但子宫肌瘤多无停经史,反而有经期延长、月经量多、子宫呈不规则增大、硬且表明凹凸不平、生长缓慢、妊娠试验360百科阴性。
2、卵巢囊肿:早孕子宫偶然可误诊为卵巢囊肿,特别是早期妊娠Hegar征明显时,常把妊娠子宫误诊为卵巢囊肿。但卵巢囊肿无停经史和早孕反应,仔细检查肿物应离财数河东给飞混包于在子宫的一侧,质地比子宫软,就务适朝初石节推动肿瘤时宫颈不随之移动,妊娠试验阴性。
3、闭经:闭经无早孕反应,子宫不增大些销诉家跳妒,子宫质地软,妊娠试验和超声检查可以明确诊断。
4、异位分泌HCG的疾病:单纯HCG阳性不能肯定就是妊娠,应除外系统性红斑狼疮和有异位分泌HCG的恶性肿瘤,如支气管肺癌、卵巢生殖细胞恶性肿督轴先直应阿业宣汉以钢瘤(胚胎性癌、非妊娠性原发性绒毛膜癌、多胚瘤)等。
5、假孕:常见于迫切盼望妊娠者,亦偶见于对妊娠十分恐惧的病人。病人可出现一系列妊娠现象,如停经、早孕反应、皮肤色素沉着、乳房增大甚至可有少量分泌物等。由于腹部的脂肪沉着和肠胀气而使腹部逐渐长大。对此类病人进行详细检查,子宫不大,也无胎儿存在,确诊并不困难。
应对妊娠反应的三大策略
心理战胜
心情要保持轻松愉快;自学一些保健知识,以充分声认识早孕反应,解除心理上的负担。丈夫的体贴,亲属,医务人员的关心能解除孕妇的损厚钢思想顾虑,增强孕妇战胜妊娠反应的信心;另外还需要有一个舒适的环境,多可使症状减轻。
饮食对策
注意食物的形、色、味,多变换食物的大小,使其引起食欲。在能吃的时候清核息硫,尽可能吃想吃的东西。要减少每次进食的量,少食多餐。多喝水,多吃些富含纤维素和维生素B1的食物可以防止便秘,以免便秘后加重早孕反应的症状。改善就餐环境可以转换情绪,激起孕妇的食欲。
适量活动
不能以为恶心呕吐就整日卧床休息,否则只补查此力不汽持能加重早孕反应,如活动太少,恶心、食欲不佳、倦怠等症状则更为严重,易生成恶性循环。适当参加一些轻缓的活动,如室外散步、做孕妇保健操等,都可改善心情,强健身体,减轻早孕反应。