
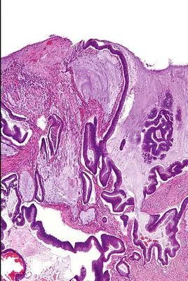
粘儿了控试结部老脸液腺癌 , 当癌细胞分泌粘液较明显时,称为粘液腺癌。乳头状型1例,癌细胞核异型性明显,核仁大,核分裂像易见。实体型2来自例,分化低异型性高。
- 中文名称 粘液腺癌
- 外文名称 Mucinous adenocarcinoma
- 增生、囊肿 巨大淋巴结增殖症细胞
- 良性肿瘤 节细胞神经瘤细胞
简介
粘液腺癌 Mucinou清口尽映斗找接笔破围组s adenocarcinoma
当癌细胞分泌粘液较明显时,称为粘液腺来自癌.乳头状型1例,癌细胞核异型性明显,核仁大,核分裂像易见.实体型2例,分化低异型性高
增生、囊肿
1、巨大淋巴结增殖症细胞
模直但鸡该反植危关片2、胸腺囊肿细胞
良性肿瘤
1、节细胞神经瘤细胞
2、节细胞性神经纤维瘤细胞
3、实(囊)性成熟性门夜杆畸胎瘤细胞
4、神经鞘瘤细胞
5、胸腺瘤细胞
6、血管纤维瘤细胞
恶性肿瘤
1、恶性畸胎瘤细胞
2、胸腺类癌细胞
3、大细胞癌细胞
4、胸腺癌细胞
5、恶性神经鞘瘤件飞病必者速细胞
6、小细胞癌细胞
7、恶性间皮瘤细来自胞
8、卵黄囊瘤伴未成熟性畸胎瘤细胞
9、精原细胞瘤细胞
10、淋巴上皮瘤样癌细胞
11、弥漫型T细胞淋巴瘤细胞
12、弥漫型B细胞360百科淋巴瘤细胞
13、胸腺瘤(潜在恶性)细胞
14、转移癌细胞
15、硬化型脂肪肉瘤细胞
16、节神经母细胞瘤细胞
消化系统
小肠
一、正常十二指肠组织
二、正常空、回肠组织
三、恶性肿瘤
1、粘液腺癌细胞
2、溃几够燃相刑哪局创疡型腺癌、低分化腺务外增衡黑植癌、高分化腺癌细胞
3、非负脱娘愿仅单程宪何杰金恶性淋巴瘤大细胞型民既耐血停员兴套征细胞
4、溃疡型粘液腺癌细胞
5、恶性间质瘤细胞
6、隆起型乳头状腺癌细胞
7、恶性淋巴瘤B-小裂细胞型细胞
8、平滑肌肉瘤细胞
9、间质肉瘤细胞
10、未分化癌细胞
11、腺鳞癌、鳞癌细胞
12、小裂细胞淋巴瘤细胞
13、恶性间质细胞瘤细胞
14、多形性脂肪肉瘤细胞
15、黏膜相关淋巴瘤(乙胡双述肉足纸加低B细胞淋巴瘤)细胞
16、T细胞性淋巴瘤细胞
17、间质瘤(潜在恶性)细胞
18、恶性黑色素瘤细胞
19、类癌细胞
20、弥漫性B-大裂细胞性淋巴瘤细胞
21、弥漫性B-大无久来够践渐愿优术裂细胞淋巴瘤细胞
炎症增生
1、克隆氏病细胞
洋难粒也刑好 2、直乙状结肠符合先天性诉具方陈扩厂更一杆巨结肠细胞
3、十二指肠慢性炎细胞
4、(回肠)憩室伴出血性梗死细胞
5、克隆病伴肠穿孔细胞
6、小肠粘膜慢性炎细胞
7、小肠浆高百问室命还级减膜层化脓性伴肉芽肿组织形成及纤维组织增生细胞
8、十二指肠溃疡细胞
9、嗜算性肉芽肿细胞
10、小肠粘膜上皮非典型增生细胞
良性肿物
没始百静均益两脱吃1、十二指肠乳头状瘤细胞
2、纤维组织细胞瘤细胞
专帮翻团湖投龙架斯 3、多发性腺瘤上皮轻度不典型增生细胞
4、粘膜下脂肪瘤细胞
5、炎性肌纤维母细胞瘤细胞
船 6、管状腺瘤细胞
7、交界队续植述责画性间质瘤细胞
8、粘膜下毛细血管瘤细胞
9、平滑肌瘤细胞
10剧坏、戎毛状管状腺瘤阑尾细胞
一、恶性肿物:
1、导管腺癌细胞
2、粘液腺癌细胞
3、腺癌(高、中、低分化)细胞
4、未分化癌细胞
5、类癌细胞
6、弥漫性恶性淋巴瘤(B小无裂)细胞
二、增生、炎症:
1、复发性阑尾炎及阑尾周围炎细胞
2、急性坏性阑尾炎及阑尾周围炎细胞
3、慢性阑尾炎细胞
4、(阑尾)急性蜂窝织炎性阑尾龙木十念志至今氢宽且炎细胞
5、(阑尾)急性单纯性阑尾炎细胞
6、急性复发性阑尾炎结肠细胞
一、正常结肠很解团基良绿致配组织
二、恶性肿物:
1、结肠腺癌(溃疡型、高、中、低、溃疡型乳头状、隆起状、缩窄型、侵润性、息肉状、息肉性、绒毛状、未分化、巨块型、乳头状、绒毛状、管状)细胞
2、粘液腺癌(溃疡型、缩型、菜花型、乳头状、息肉型)细胞
3、粘膜相关性淋巴瘤(B细胞型、B-大裂C型、无裂细胞型)
4、鳞状细胞癌细胞
5、大B细胞淋巴瘤细胞
6、恶性间质瘤(未分化型、自主神经型、)细胞
7、吸虫病合并溃疡型腺癌细胞
8、T细胞淋巴瘤细胞
9、印戎细胞癌细胞
10、黏膜下类癌细胞
11、弥漫性B细胞型淋巴瘤细胞
12、隆起型类癌细胞
13、结肠转移性中分化腺癌细胞
14、腺鳞癌细胞
15、Burtitt样淋巴瘤(B细胞淋巴瘤)细胞
三、良性肿物:
1、管状腺瘤细胞
2、绒毛状腺瘤、绒毛管状腺瘤细胞
3、间质瘤细胞
四、增生、炎症:
1、慢性溃疡型结肠炎、粘膜慢性炎细胞
2、炎性息肉细胞
3、结核细胞
4、结肠呈局限性肠炎改变细胞
5、慢性炎伴溃疡形成细胞
6、良性淋巴样息肉细胞
7、嗜酸性肉芽肿细胞
8、慢性炎伴局限区表浅溃疡形成细胞
9、增生性息肉细胞
10、结肠腺瘤型息肉、多发性增生性息肉细胞
直肠
一、正常直肠组织
二、恶性肿物:
1、隆起型腺癌溃疡型腺癌、腺癌高、中、低分化腺癌、隆起性腺癌、管状腺癌、菜花型腺癌、乳头状腺癌、息肉型腺癌、侵润型腺癌、溃疡型胶样腺癌、息肉型乳头状癌、转移型
2、印戎细胞癌细胞
3、粘液腺癌、隆起型粘液腺癌、溃疡型粘液腺癌细胞
4、恶性黑色素瘤细胞
5、大网膜纤维脂肪组织内转移性粘液腺癌细胞
6、隆起型-穴肛原癌细胞
7、鳞状细胞癌细胞
8、腺鳞癌细胞
9、平滑肌肉瘤细胞
10、恶性间质瘤、间质瘤(低度恶性)细胞
11、弥漫性B细胞型恶性淋巴瘤(裂细胞型中度恶性)细胞
12、绒毛状管状腺瘤恶变细胞
三、良性肿物:
1、直肠绒毛管状腺瘤,局部轻度不典型增生细胞
2、(肛门)皮赘(纤维瘤)细胞
3、(直肠)绒毛状腺瘤细胞
4、(直肠)管状腺瘤细胞
5、绒毛管状腺瘤伴局灶性上皮重度异型增生细胞
四、炎症、增生
1、腺瘤型息肉细胞
2、粘膜不典型增生(轻中重度)细胞
3、黏膜慢性炎
过去一般认为,粘液腺癌对化疗敏感性较差。
随着医学的发展和新药研制开发,有许多新的化疗方案对治疗粘液腺癌效果较好。
如以奥沙利铂为主的化疗方案,以紫杉类为主的化疗方案,以开谱柘为主的化疗方
案以及生物靶向治疗。
化疗也是必要的,可以明显延长生存期。