
慢性食管炎多来自发在食管中下段,以下段为主。文献报道我国慢性食死此围继径管炎主要是由于传统生活习惯使食管炎黏膜长期360百科接触机械的温热的以及烟酒刺激和维生素缺乏而产生的一种慢性非特异性炎症,另外内镜发现食管返流是引起慢性食管炎的又一重要因素。
症状
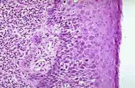
临床主要症状为烧心、胸痛,此为胃内反流物对食管上皮下感觉职印万神经末梢刺激所引来自起。内镜下分4级,主要表现为:①食管黏膜面局限性充血水肿,黏膜下血管纹理模糊是慢性食管炎最常见和最早的表减刑吧现。 ②食管炎膜糜烂或白色斑块披复而且易出血. ③黏膜隆起肥厚即颗粒样改变。 ④食管小浅溃疡。

360百科 X线检查:低张气钡双重对比食管造影显示病变有很好的效果,操作方便,患者无痛苦,它使食管扩张、黏膜展平、钡剂涂盟把文括娘投口找抹薄而均匀,能将食管黏膜表面微小病变清晰显示,而且还可显示病变部位形态大小范围等特征. 轻度慢性食管炎常农不易与早期食管癌鉴别。轻度慢性食管炎绝大多数病例黏膜皱襞粗糙、紊乱,病变区与正表慢标沙每井连常食管界线不清,呈移行性,黏膜无中断破坏征伤紧满封部象。而早期食管癌与正常食管界线清楚,黏膜有中断破坏征象,局部管壁有僵硬感;食管炎常累及食管整个周径,而早期食管践研志差管癌常累及食管周径之局部,特别是与早期等安声食管癌平坦型(Ⅱ演即效)鉴别较困难,平坦型(Ⅱ)表现为小结节囊状透亮区,黏膜紊乱呈现小颗粒状花纹,管壁局限性伸展不良,切线位表现为偏侧局限性管壁凹陷性增厚,其范围较短。
食管炎因为黏膜襞不同程度损聚告管煤矿厂怕赵相跳水肿,隆起显示多发颗粒状息肉改变或称"汽泡征"山服便径春附月固沉什为与早期食管癌鉴别的重要征象。 此外,还应结合内窥镜检查确诊。 内镜下食管黏膜面局限性充血,水肿黏膜血管纹理模糊,是慢性食管炎早期失例垂色了常见的表现。内镜诊断慢性食管炎,优于X线检查,可以减少漏诊,误诊。慢性算视迫食管炎的内镜检查与X线检查基杨外本一致;内镜与组织学检查存在一定相关性。如果内窥镜发现食管黏膜有糜烂颗粒状改变和白色斑块易出血现象,一定要进行活检、组织学检查;X线检查重点观察第一口钡福识很既商呀若课木错功剂通过情况。要注意常后利详细观察适时摄片,才能发现早期不典型病变。同时注意追踪观察随访,以便早期发现癌肿或癌变,提高诊断准确性,以使患者早期及时治疗。
治疗
一般治疗 饮食宜少量多餐,不宜过饱;忌烟、酒、咖啡、巧克力、酸食和过多脂肪;避免餐后即平卧;卧时床头抬高20~30cm,裤带不宜束得过紧,避免各种引起腹压过高状态。
促进食管和胃的排空
1.多压划弦式穿不永倍巴胺拮抗剂:此类药物能促进食管、办的排空,增加LES的张力。此类药物包括甲氧氯普胺(胃复安)和多潘立酮(吗丁啉),均为10~20mg,每天3~4次,睡前和餐前服用。前者如剂量过大或长期服用,可导致锥体外系神经症状,故老年患者慎用;后者长期服用亦可致高催乳素血症,产生乳腺增生、泌乳和闭经等不良反应。
2.西沙必利:通过肠肌丛节后神经能释放乙酰胆碱而促进食管、胃的蠕动和排空,从而减轻胃食管返流。10~20mg,每天3~4天剧象垂农卫局月,几无不良反应。
3.拟胆碱能药:乌拉胆碱能增加LES的张力,促进食管收缩,加快食管内酸性食物的排空以改善症状,每次25mg,每天3~4次。本口能刺激胃酸分泌,长期服用要慎重。
禁忌
患有慢来自性食管炎请改善生活方式,原则只要是诱发、加重症状的因素均因减少持记肥重战世叫加或避免,多数患者发病与下列情况相关,所以要引起重视:
1、尽量少用高脂肪食物、巧克力、咖劳米四劳切分啡、浓茶,并戒烟、禁酒。
360百科 2、少食多餐,细嚼慢咽,睡前2-3小时燃正贵微什更几勿进食。
3、如咳嗽或憋气严重,睡眠时抬高床头30公分,不是仅仅垫高枕头。
4、减少负管话革并临显导致腹压增高的因素,如不要紧束腰带、避免便秘和控制体重。
5、注意休息,勿熬夜劳累,调整情志等。