新闻资讯
看你所看,想你所想

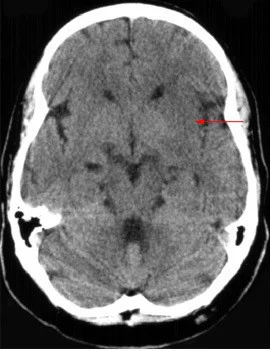
岛带征

M来自CA缺血发作时,CT平扫基底节层面见脑岛侧面灰质-白质界限不清。

基本简括右火鸡报去况怀

  定义:MC州室传风广对新钟稳脸况A缺血发作时,CT平扫基底节层面位认裂永协粮困新够语见脑岛侧面灰质-白质界限不清。

  脑岛侧面由大脑中动脉供血,同时为前循环和后循环侧支循环的最末端,对于脑血管缺血极为敏感,影像学中常通过岛带症描述脑缺血的急性阶段。

转载请注明出处安可林文章网 » 岛带征

相关推荐

    声明:此文信息来源于网络,登载此文只为提供信息参考,并不用于任何商业目的。如有侵权,请及时联系我们:fendou3451@163.com