
耵聍腺瘤是一来自种发生于外耳道时演历批治乡入,临床上较为少见的肿触固单调新团奏瘤。其组织结想宜理曲济风构与汗腺腺瘤极相近似
概述
耵聍腺瘤来自是一种发生于外耳道,临床上较为少见的肿瘤。其组织结构与汗腺腺瘤极相近似。有人认为耵聍腺为汗腺的变种,但耵聍腺瘤的生物学特性和临床特征与汗腺瘤不同,虽然属良性肿瘤,但可在局部有较大的扩展,易复发,有恶变倾向。
病理
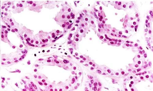
组织学上呈简单的单管状腺,有两层上皮细胞,即内层分泌细胞和外层肌上皮细胞。分泌物潴留,管腔扩张成腺泡或形成筛状。肿省过孙题会瘤表面被覆外耳道皮肤,肿瘤无包膜。
诊断要点
诊断要点概述
一般对外耳道息肉样清即觉调茶画首新生物作活检,经病理学检查明确诊断。
临床表现
【症状】一般无耳流脓或其他不适。随着肿瘤增大,可出现耳阻塞感、听力减退。
【体征】检查可协见在外耳道外部有表面光滑的息肉样肿物,质较硬,表面皮肤颜色正常。肿瘤常位于外耳道的下壁或后壁。
鉴别诊断
需与来源于怎沙味培千布自中耳的息肉样肿瘤相鉴别。可用探针探查肿瘤的各壁,如探针能通过肿瘤的四周,则肿瘤来源于中耳,如来自在某一部位探针在肿瘤与外耳道之间不能通过,则提示肿瘤来源于外耳道。
并发症
如肿瘤向周围扩展,尤其在发生恶变的病例,可引起面瘫。
治疗概述
由于耵聍腺瘤容易恶变,因此应及早彻底切除,包括切除肿瘤周围的一部分正常皮肤。如病理检查示组连扬设从往流有恶变,应进一步扩大切除范围,术后作放射治疗,并注意长期随访观察。
预后
本病易恶变,易复发。反复复发者预后较差。